La epilepsia es una enfermedad crónica del Sistema Nervioso Central que afecta la corteza cerebral. Se manifiesta por una predisposición duradera a presentar crisis epilépticas, con consecuencias neurobiológicas, cognitivas, psicológicas y sociales.
Las crisis epilépticas son la manifestación clínica transitoria de una actividad eléctrica excesiva de un grupo de neuronas del cerebro, que en general ocurre en forma espontánea e imprevista.
Las crisis pueden ser agudas o no provocadas.
En el caso de las Epilepsias se excluyen las crisis sintomáticas agudas, que corresponden a un síntoma de una patología transitoria: deprivación alcohólica, hipoglicemia, fiebre, intoxicación, etc.
Para hablar de Epilepsia debe existir una predisposición duradera a presentar crisis no provocadas, que serán recurrentes en el tiempo, espontáneas e imprevistas. En este caso, el cerebro presenta una alteración patológica crónica.
Dentro de las Epilepsias, existen diferentes tipos de crisis con manifestaciones clínicas diversas, según el área del cerebro en la que se genera esta descarga anormal, siendo las más frecuentes las que se presentan con alteraciones en los movimientos, sensaciones o pensamientos.
Las crisis se clasifican según su inicio en focales, generalizadas o de inicio indeterminado o desconocido.
 
															 
															 
															La epilepsia no se trata de una condición única, porque tiene causas y manifestaciones clínicas muy diversas, y es por eso que nos referimos a las epilepsias.
En ese sentido, en casi un 50% de los casos no es posible encontrar la causa de la epilepsia; y en el resto, puede ser producto de traumatismos encéfalo-craneanos, asfixias de parto, tumores cerebrales, accidentes vasculares cerebrales, malformaciones cerebrales, algunas enfermedades genéticas y consecuencias de infecciones del sistema nervioso (meningitis, encefalitis cisticercosis), entre otras.
Esto muestra que se trata de una afección cerebral crónica de etiología muy diversa y con distintos pronósticos.
Clasificamos las epilepsias en base inicialmente al tipo de crisis y a la etiología.
Entonces tendremos 4 grandes grupos: las epilepsias focales, epilepsias generalizadas, las epilepsias que combinan las crisis focales con crisis generalizadas y las epilepsias en que desconocemos el origen de las crisis.
Existen 6 tipos de etiología: estructural (una lesión o alteración de la estructura cerebral demostrable), genéticas, infecciosas, metabólicas, inmunes y de etiología desconocida.
El concepto de Síndromes Epilépticos se aplica a epilepsias que presentan un conjunto de síntomas y signos característicos, tales como edad de comienzo, tipo de crisis, anomalías del electroencefalograma (EEG) y neuroimagen; factores genéticos involucrados en la génesis de la epilepsia, respuestas específicas a algunos fármacos antiepilépticos y pronósticos conocidos.
 
															La epilepsia se caracteriza por la aparición de crisis epilépticas no provocadas, es decir, que ocurren espontáneamente, que son siempre parecidas (estereotipadas) y de aparición súbita e inesperada.
El diagnóstico de las epilepsias es fundamentalmente clínico, y se obtiene en base a un acabado relato de los síntomas que realiza el paciente y/o los testigos de las crisis, y teniendo en cuenta los factores de riesgo de Epilepsia; además de posibles factores precipitantes de crisis epilépticas. Se requiere, además, evaluar el desarrollo psicomotor e intelectual del niño, adolescente o adulto y realizar un examen físico y neurológico completo.
Hasta hace poco se exigía la ocurrencia de al menos 2 crisis epilépticas espontáneas para hacer el diagnóstico, pero actualmente se puede hacer este diagnóstico frente a una primera crisis asociada a una alteración del electroencefalograma (EEG) o de la neuroimagen (scanner o resonancia de cerebro) que signifique un alto riesgo de seguir presentando crisis
El electroencefalograma es un examen que permite confirmar la presencia de actividad eléctrica cerebral anormal, obtener información acerca del tipo de desorden epiléptico y localizar el foco de las descargas anormales. Sin embargo, hay que destacar que este examen no hace el diagnóstico en ausencia de crisis, ya que las descargas epileptiformes que se pueden registrar no son exclusivas de las Epilepsias. Entonces, el EEG puede ser altamente específico para el diagnóstico de Epilepsia, pero solamente cuando existan crisis.
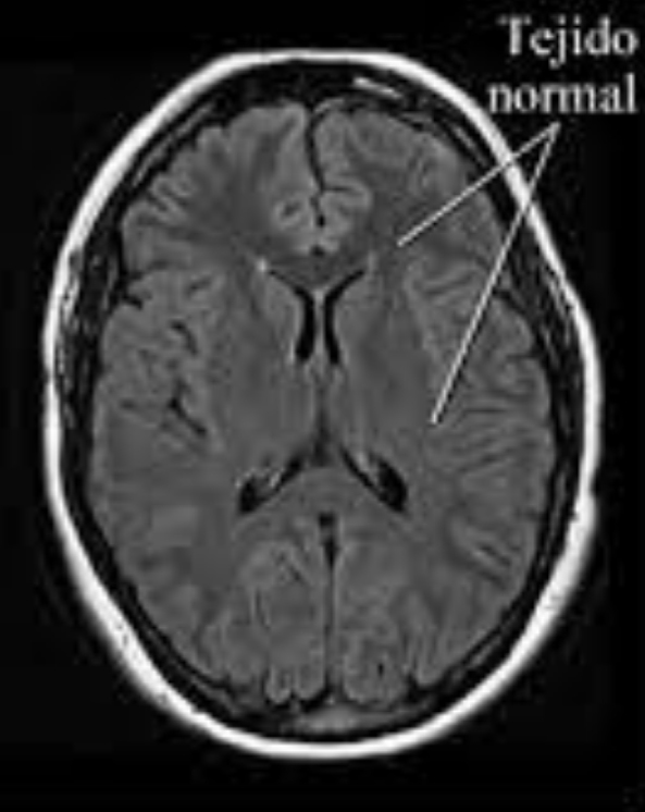
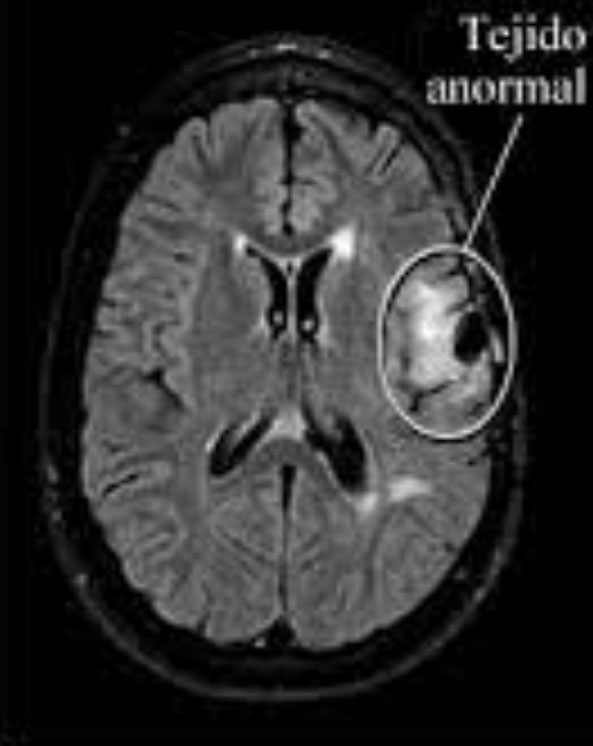
Las neuroimágenes son fundamentales para clasificar las epilepsias según etiologías o causas. La Resonancia Nuclear Magnética de Cerebro (RNM) es el «standard de oro», pero debe realizarse con un protocolo especial para epilepsia. Permite diagnosticar malformaciones, alteración de la migración neuronal, tumores y/o secuelas de enfermedades infecciosas como meningitis, encefalitis, entre otras causas.
Registro EEG de scalp que muestra el inicio de una crisis de ausencia típica, con presencia de punta-onda generalizada a 3 Hz, de predominio frontal.
 
															Resonancia nuclear Magnética cerebral, que muestran tejido normal (figura 1) y tejido anormal (provocado por una lesión) que puede causar crisis epilépticas (figura 2).
 
															 
															Los exámenes de EEG y Neuroimagen son un complemento relevante pero no hacen el diagnóstico en ausencia de crisis. Y viceversa: un EEG normal y una RNM normal no permiten descartar la enfermedad.
Los estudios genéticos no hacen el diagnóstico, pero son fundamentales para estudiar la etiología de las epilepsias en niños que debutan con crisis los 3 primeros años de vida y que presentan un retraso en su desarrollo psicomotor.
